
Bạn có biết những hậu quả khi bọc răng sứ kém chất lượng?
Bạn đang có ý định bọc răng sứ để cải thiện nụ cười và tự tin hơn. Tuy nhiên, bọc răng sứ cũng tiềm ẩn những rủi ro nếu gặp phải răng sứ kém chất lượng và quy trình không được thực hiện đúng cách. Việc lựa chọn chất liệu, kỹ thuật bọc răng, chăm sóc răng miệng và khả năng dị ứng đều có thể ảnh hưởng đến sức khỏe răng miệng và thậm chí là sức khỏe tổng thể.
Chất liệu răng sứ đóng vai trò quan trọng trong việc quyết định độ bền, thẩm mỹ và tính an toàn của răng sứ. Trên thị trường hiện nay, có rất nhiều loại răng sứ với chất liệu và giá thành khác nhau. Tuy nhiên, không phải loại răng sứ nào cũng phù hợp với mọi trường hợp.
Hậu quả bọc răng sứ không tốt khi sử dụng chất liệu kém chất lượng:



Kỹ thuật bọc răng sứ đòi hỏi sự tỉ mỉ và chính xác cao. Kỹ thuật bọc răng không đúng có thể dẫn đến nhiều hậu quả tiêu cực.
Hậu quả bọc răng sứ không tốt khi kỹ thuật bọc răng không đúng:
Sau khi bọc răng sứ, việc chăm sóc răng miệng đúng cách rất quan trọng để đảm bảo răng sứ bền đẹp và an toàn.
Hậu quả bọc răng sứ không tốt khi chăm sóc răng miệng kém:
Một số người có thể bị dị ứng với các thành phần trong chất liệu của răng sứ. Dị ứng với chất liệu có thể xảy ra ngay sau khi bọc răng sứ hoặc sau một thời gian sử dụng.
Hậu quả bọc răng sứ không tốt khi bị dị ứng với chất liệu:
|
Hậu quả |
Nguyên nhân/Dấu hiệu |
Cách khắc phục |
|
Đau ê |
Đau ê sau khi bọc răng sứ là do răng bị mài cùi quá nhiều, gây tổn thương tủy răng hoặc do kích ứng với chất liệu bọc răng. Cảm giác đau có thể biểu hiện dưới nhiều dạng: • Đau nhức: Cảm giác đau ê ẩm, nhức nhối, kéo dài, thường xuất hiện khi ăn uống hoặc tiếp xúc với thức ăn nóng, lạnh. • Đau ê buốt: Cảm giác đau nhói, buốt, thoáng qua, thường xuất hiện khi ăn uống hoặc tiếp xúc với thức ăn chua, ngọt. • Đau đầu: Cảm giác đau nhức vùng thái dương hoặc sau gáy, thường xảy ra khi đau răng kéo dài. |
• Liên hệ với bác sĩ nha khoa ngay khi có dấu hiệu đau: Bác sĩ sẽ kiểm tra tình trạng răng miệng của bạn và đưa ra phương án điều trị phù hợp. • Sử dụng thuốc giảm đau: Bác sĩ có thể kê đơn thuốc giảm đau để giảm đau tạm thời. • Chế độ ăn uống: Tránh thức ăn cứng, nóng, lạnh, chua, ngọt để tránh kích thích răng. |
|
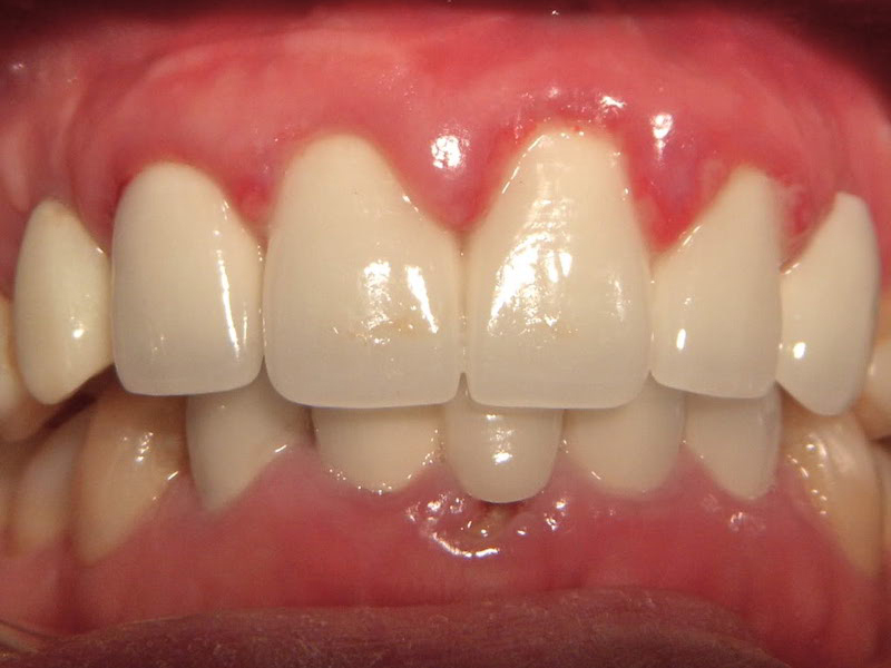
Viêm nướu |
Viêm nướu là tình trạng viêm nhiễm mô nướu xung quanh răng, thường xảy ra do vệ sinh răng miệng không đúng cách, hoặc do bọc răng sứ không phù hợp. Dấu hiệu của viêm nướu: • Nướu sưng đỏ, chảy máu khi đánh răng hoặc dùng chỉ nha khoa. • Nướu nhạy cảm, dễ bị tổn thương. • Hơi thở có mùi hôi. |
Vệ sinh răng miệng đúng cách: Đánh răng 2 lần/ngày, dùng chỉ nha khoa mỗi ngày, súc miệng bằng nước muối sinh lý. • Chọn nha sĩ uy tín: Bọc răng sứ tại nha khoa uy tín, đảm bảo chất lượng răng sứ và kỹ thuật bọc răng. • Kiểm tra định kỳ: Thường xuyên kiểm tra răng miệng định kỳ để phát hiện sớm tình trạng viêm nướu. |
|
Dị ứng |
Dị ứng với chất liệu răng sứ là một vấn đề khá hiếm gặp, nhưng gây ảnh hưởng nghiêm trọng đến sức khỏe. Biểu hiện của dị ứng: • Nướu sưng đỏ, đau, ngứa. • Mụn, nổi mẩn đỏ quanh vùng miệng. • Cảm giác khó chịu, đau rát, nóng rát. • Khó thở, buồn nôn, chóng mặt. |
Ngừng sử dụng răng sứ: Ngay khi phát hiện dấu hiệu dị ứng, cần ngừng sử dụng răng sứ. • Liên hệ với bác sĩ nha khoa: Bác sĩ sẽ kiểm tra tình trạng dị ứng và đưa ra phương án xử lý phù hợp. • Sử dụng thuốc kháng dị ứng: Bác sĩ có thể kê đơn thuốc kháng dị ứng để giảm triệu chứng. |
|
Xuống màu |
• Chất liệu kém chất lượng: Răng sứ làm từ chất liệu kém chất lượng, dễ bị ố vàng, đổi màu theo thời gian. • Vệ sinh răng miệng không đúng cách: Vi khuẩn tích tụ trên bề mặt răng sứ, gây đổi màu. • Thói quen ăn uống: Uống cà phê, trà, rượu vang, thuốc lá có thể làm đổi màu răng sứ. |
• Bọc răng sứ tại nha khoa uy tín, sử dụng chất liệu răng sứ chất lượng cao. • Đánh răng 2 lần/ngày, dùng chỉ nha khoa mỗi ngày, súc miệng bằng nước muối sinh lý. • Tránh thức ăn, đồ uống có màu như cà phê, trà, rượu vang, thuốc lá. • Sử dụng kem đánh răng dành cho răng sứ, có khả năng làm sạch răng sứ hiệu quả, không làm mài mòn bề mặt răng. |
Bạn nên lựa chọn nha sĩ uy tín và nha khoa chất lượng để được tư vấn sử dụng loại răng sứ phù hợp với tình trạng răng miệng và khả năng tài chính.
Để lựa chọn chất liệu răng sứ phù hợp, bạn nên lưu ý:
Để tránh những hậu quả này, bạn nên lựa chọn nha sĩ uy tín có chuyên môn cao và kinh nghiệm lâu năm trong lĩnh vực bọc răng sứ.

Một số lưu ý khi lựa chọn nha sĩ bọc răng sứ:
Để chăm sóc răng sứ hiệu quả, bạn nên:

Để phòng tránh dị ứng, bạn nên: